Value cannot be null. Parameter name: Slug Periodontalmaintenance
Hi, I am your virtual AI assistant
Schedule Appointment

Periodontal/ Gum Disease Treatment

Due to poor dental hygiene bacteria and tartar accumulates between the teeth and gums, affecting the soft tissues that surround and support the teeth, leading to number of inflammatory conditions called Periodontitis, ultimately causes tooth loss.

Gainesville Dental Arts Gainesville Haymarket Periodontal Disease

Periodontitis can be prevented by maintaining good dental hygiene. Brushing twice-daily and flossing daily, along with regular dental checkups, can help prevent periodontitis. We at Gainesville Dental Arts in Gainesville will help you establish a hygiene and treatment regimen that will help you to avoid tooth loss and other serious complications associated with periodontitis.




What is Periodontal (Gum) Disease?

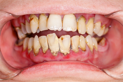
Periodontal disease, or gum disease refers to any condition that affects the gums and other structures supporting your teeth. It is a painless infection of the tissues surrounding and supporting the teeth and is the most common cause of tooth loss. However, bacteria cause the most common forms of periodontal disease. These bacteria grow in a film called dental plaque that sticks on the tooth surfaces next to the gums. The bacteria can infect the gums and cause inflammation. The disease can spread and destroy the gums, ligament and bone around the teeth. Often, patients do not even know they have periodontal disease. Since it can lead to serious complications like tooth loss, it is important that the gum disease is diagnosed and treated in a timely manner. Periodontal disease affects millions of Americans.

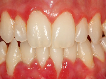
Gainesville Dental Arts Healthy And Infected Gum

Causes of Periodontal Disease

Due to poor dental hygiene bacteria and tartar accumulates between the teeth and gums, affecting the soft tissues that surround and support the teeth, leading to number of inflammatory conditions called Periodontitis, ultimately causes tooth loss.

Signs & Symptoms of Periodontal Disease

Signs and symptoms of periodontal disease include bleeding, swollen or tender gums, bad breath that doesn’t go away, loose teeth, bad taste in the mouth due to pus between your teeth and gums, or a change in the way your teeth fit together.

Diagnosis of Periodontal Disease

The good news is that detection of periodontal disease is relatively simple, utilizing diagnostic procedures which we will perform at Gainesville Dental Arts in Gainesville.

Treatment of Periodontal Disease

We have found the most effective treatment for slight to moderate cases of periodontal disease is to perform scaling and root planning (deep cleaning above and below the gum line) in conjunction with a locally administered antibiotic treatment. Our office utilizes a new antibiotic therapy called Arestin that has been approved by the FDA. The Arestin therapy is fast, easy and comfortable. Once Arestin is applied, it releases the antibiotic gradually for up to 21 days.

Periodontal Care and Maintenance

Periodontitis can be prevented by maintaining good dental hygiene. Brushing twice-daily and flossing daily, along with regular dental checkups, can help prevent periodontitis. We at Gainesville Dental Arts in Gainesville will help you establish a hygiene and treatment regimen that will help you to avoid tooth loss and other serious complications associated with periodontitis.

Types of Periodontal Disease

Periodontal disease can refer to any condition that affects the gums and other structures supporting your teeth. However, bacteria cause the most common forms of periodontal disease. These bacteria grow in a film called dental plaque that sticks on the tooth surfaces next to the gums. The bacteria can infect the gums and cause inflammation. The disease can spread and destroy the gums, ligament and bone around the teeth. There are several types of periodontal disease.

Gingivitis

Gingivitis is the mildest form of periodontal disease, caused by bacteria in plaque, which produce substances that can harm the gums. When you have gingivitis, your gums are red and swollen. They bleed easily with brushing. Gingivitis doesn't usually hurt. However, gingivitis can get worse. It can lead to a more serious form of periodontal disease, called Periodontitis. Gingivitis is quite common. Almost 3 out of 4 adults over age 35 have some evidence of this condition.

Gainesville Dental Arts Gainesville Haymarket Gingivitis

Some groups of people are at increased risk:

  • People with poorly controlled diabetes
  • Pregnant women
  • Women taking birth control pills
  • People taking steroids
  • Teenagers
  • People taking certain other drugs, such as cyclosporine (Neoral, Sandimmune, SangCya), medicine for seizures and blood pressure pills called calcium channel blockers

Gingivitis can be reversed with a combination of professional and home care.

Chronic Periodontitis

Periodontitis is a more advanced disease than gingivitis. Periodontitis involves all of the tissues that support the teeth. This includes both the gums and the bone. Chronic periodontitis is the most common form of periodontitis. Almost 50% of U.S. adults have some form of it. The older you are, the more likely you are to show signs of periodontitis.

Gainesville Dental Arts Gainesville Haymarket Gentle Cleanings Chronic Periodontitis

If you have periodontitis, your gums become detached from your teeth. Spaces called pockets form between the teeth and gums. Dental plaque builds up in the pockets. Eventually, this destroys the ligament and bone that support the teeth. In more severe cases, teeth can become loose and even fall out.

Periodontitis usually is not painful. Some people notice that their gums are bleeding. The gums may recede (move back away from the teeth). People also may have bad breath or a bad taste in the mouth. However, periodontitis may not cause any symptoms that you would notice. Dr. Kaur can diagnose it during an examination; however, the condition usually gets worse quite slowly, over several years.

Unlike gingivitis, periodontitis can't be completely reversed. That is because the lost supporting tissues usually can't be rebuilt. However, treatment and proper brushing and flossing can improve your oral health. This can stop periodontitis from getting worse. Stopping the disease in this way can help prevent tooth loss and other serious problems.

Treatment for periodontitis typically includes a thorough cleaning called scaling and root planing. In certain cases, you may need other steps, such as a antimicrobial therapy, p periodontal surgery or both.

Aggressive Periodontitis

Aggressive periodontitis gets worse faster than chronic periodontitis and tends to run in families. It also is more common in smokers, more common in younger people than in older people. Bacteria found in dental plaque also cause this form of periodontitis. The treatment generally is the same as treatment for chronic periodontitis. However, antibiotics and periodontal surgery are needed more often. In certain situations, aggressive periodontitis can be difficult to treat. These patients do not get better with treatment.

Periodontitis Caused by Conditions of the Body

Periodontitis can be a symptom of diseases that involve the whole body like leukemia, neutropenia and genetic disorders. This type of periodontitis can vary, depending on the medical condition. However, it sometimes looks and acts like aggressive periodontitis. These patients often are young and do not have large amounts of dental plaque.

Other medical conditions like diabetes and HIV infection can make all forms of periodontitis worse. People with these conditions usually have a fair amount of dental plaque and/or calculus (tartar) on their teeth. They are more prone to developing severe periodontitis.

Treatment involves controlling the medical problem first. This is followed by treatment similar to that for chronic or aggressive periodontitis.

Necrotizing Periodontal Diseases

Necrotizing periodontal diseases are forms of disease that get worse rapidly. They cause distinct symptoms, such as:

  • Loss of the little triangles of tissue between the teeth
  • Significant pain
  • Bleeding gums
  • A whitish film on the surface of the gums
  • Bad breath
  • May develop a fever and swollen glands

These conditions occur most often in people whose immune systems have been suppressed. They are much more likely in people who smoke or have poor nutrition, psychological stress or HIV infection. For this reason, we will consult with your physician.

The treatment for NUG typically involves:

  • Loss of the little triangles of tissue between the teeth
  • Scaling and root planing
  • Antibiotic pills
  • Use of a mouth rinse containing chlorhexidine
  • You also may get medicine for fungus infections.
  • Education to improve brushing and flossing habits

Periodontal Disease and General Health

Recent studies also suggest possible relationships between periodontal infection and diabetes, heart disease, pancreatic and oral cancers and increased incidence of pre-term, low-birth weight babies.

Request An Appointment

*Name
*Phone
Email ID
Preferred Date
Preferred Time
*Message