Hi, I am your virtual AI assistant
Schedule Appointment

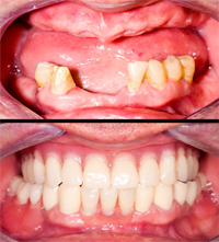
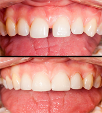
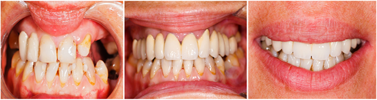
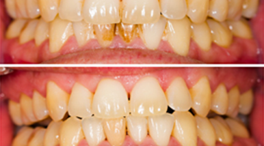
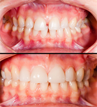
Smile Gallery